Thursday, April 21, 2016
I rested awkwardly on the gurney in the radiology exam room. The radiology nurse had just finished propping me onto pillows and supports to get the angle just right for my impending breast biopsy. She explained the procedure to me, and showed me the teeny tiny titanium markers that would be placed into my breast at the biopsy sites — yes I said “sites”; they were doing two biopsies side-to-side.
After I was settled and prepped, the doctor entered the room. She was a small, efficient woman, with an attractive, no-nonsense bob. She introduced herself as Dr. Rad*, and shook my hand. Then she said, gently but briskly, and very clearly:
“You have multiple masses in your right breast that look like breast cancer.”
Ok then. Immediately my brain began to reform itself around this information, almost with gratitude at the clarity. As Dr. Rad proceeded with the biopsy procedure, I started to really like her. No bullshit, get to the point, but also interesting and personable — I had asked at some point if I could read my book during the procedure, as I had done during the long and boring ultrasound. After the titters died away, we had a great chat during the procedure about books and book groups. (She, of course, is in a Powerful-and-Influential-Women-of-La-Jolla book group.)
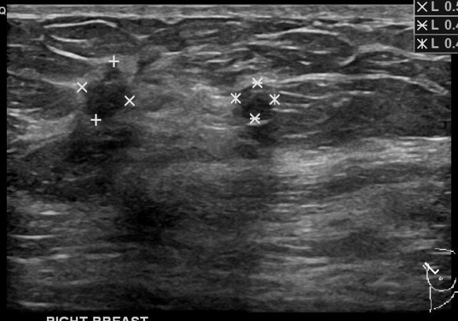
This was a culmination of sorts. I’d had my first ever mammogram at age 38 due to a family history of breast cancer, and also very dense breast tissue that was difficult to examine manually. That first mammogram was uneventful, but a few years later I had one where they called me back for a follow-up ultrasound. Then a year later the same thing happened. Finally, in September of 2015, after getting called back for another ultrasound of my right breast, they asked me to come back in six months instead of the usual one year. So earlier this month, on April 11, I had a mammogram followed by an immediate ultrasound. The U/S technician was wanding me over and over in the same place, near my armpit on Righty, for a solid twenty minutes, while I held my iPhone (yes, reading my book) in my left hand; and my right hand, stretched up uncomfortably over my head (this would become a theme), slowly went to sleep. After that U/S was done, I was told that there were multiple “shadows” that they needed more information about. I needed to come back for a biopsy.
As the biopsy procedure wrapped up, I got dressed and gathered my things. Still processing Dr. Rad’s statement, I considered… Nowadays you hear often about people who have breast cancer, and recover. I had to assume they’d caught it early since they’ve been watching that spot for a couple of years now. My gut feeling was that survival seemed pretty likely.
As for “the girls,” I have had bodacious ta-tas my whole life, since “blossoming” in early high school (“You could feed Ethiopia with those things!”). I love my huge knockers and am proud of them, and I try to make the best of them; but there is no doubt that it’s been a love-hate relationship.
The last step after the biopsy was to get one more mammogram, to record the location of the titanium markers — great, stab me in the boob a couple of times and then squish it in a machine, thanks. But the mammogram technician was sweet and bubbly, and worked as gently as she could. As I stood topless (that stupid cape just gets in the way), allowing her to squeeze Righty into the machine, I said to her:
“Well, I’ll tell you what. I’m getting PERKY BOOBS out of this!!!”
